This article is an answer to the Case – A 59-Year-Old Man After a Fall at Home
CT Findings
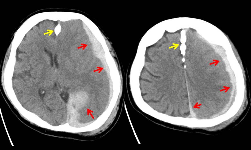
- Acute subdural haemorrhage (red arrows) is seen at left cerebral hemisphere causing compression to the underlying brain parenchyma, particularly at the left temporal -parietal lobe.
- It extends to left interhemispheric fissure and left tentorium
- It has the maximum thickness of 2.0 cm at left tentorium.
- It is associated with effacement of the adjacent sulci and right lateral ventricle. Poor grey white matter junction differentiation of the left cerebral hemisphere in keeping with cerebral oedema
- There is about 1.1 cm midline shift to the left.
- Prominent temporal horn of the left lateral ventricle noted, in keeping with obstructive hydrocephalus.
- No skull fracture.
- Falx calfication (yellow arrows) as noted on skull radiograph
- Scalp hematoma at left parieto-occipital region.
Discussion – Subdural Haemorrhage
- Subdural haemorrhage is accumulation of blood in potential space between pia-arachnoid membrane with dura mater.
- Elderly patient is predisposed to this type of injury due to longer bridging veins in senile brain atrophy.
- No consistent relationship with skull fracture
- CT scan shows crescent-shaped hyperdensity at cerebral convexity with frequent extension to interhemispheric fissure and along tentorial margins
- Haematoma freely extending across suture lines, but do not cross midline
- Can be bilateral in 15-25% (adults) and 80-85% (infants)
- Mortality rate 35-50% due to various associated injuries
Progress of patient
- Patient deteriorated with drop in GCS
- Left decompressive craniectomy with duroplasty performed
- Develop new onset AF
- Septic shock secondary to pneumonia
- Died 8 days after admission
SIMILAR CASE: Acute Subdural Hemorrhage


