This article is an answer to the Case – Chest Pain in a 37-year-old man
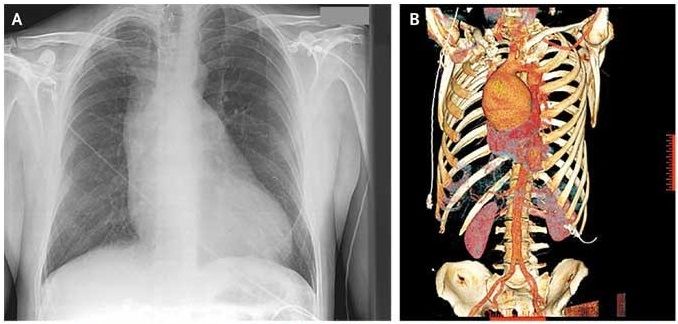
Auscultation of the precordium was notable for an aortic regurgitant murmur. Electrocardiography showed left ventricular hypertrophy. Chest radiography revealed a widened mediastinum (Panel A). 3-D reconstruction computed tomographic angiography of the chest showed a 9.5-cm ascending aortic aneurysm (Panel B).

The patient underwent an ascending aortic root replacement, during which the aneurysm was visible through the median sternotomy, and a Dacron graft was successfully placed. The patient had a full and uneventful recovery.
Read More about Aortic Aneurysms – Summary
