This post is an answer to the Case – Hearing Loss and Left Ear Fullness
Otoscopy revealed a hemotympanum through the eardrum. In addition, a subcutaneous hemorrhage was observed in the left postauricular region.
The patient reported no history of head injury but said that he had been having partial memory blackouts since drinking alcohol at a New Year’s party 5 days earlier.
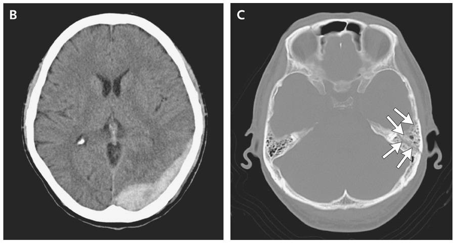
Computed tomography revealed an acute epidural hematoma (Panel B), accompanied by a left temporal bone fracture (Panel C, arrows).

The patient was sent to the neurosurgery department for evaluation, where it was determined that no intervention was required. The patient’s symptoms improved over the next several weeks, with the exception of slight sensorineural hearing loss in the left ear, detected on audiometry.
Battle’s sign represents ecchymosis around the mastoid process from head trauma that has caused a temporal bone fracture. The sign can suggest that a patient has sustained a significant blow to the skull, even if the medical history is obscure.
