This post is an answer to the Case – Painless Swelling and Redness of Both Eyes
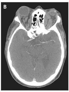
Computed tomography of the head showed orbital masses that followed the contour of the orbit and did not cause bony erosion (image below).
Pathological analysis of an inguinal lymph node showed mantle-cell lymphoma. A sample obtained on bone marrow biopsy also showed infiltration by lymphoma.
The patient was treated with combination chemotherapy, and after 1 month of treatment, both the proptosis and lymphadenopathy had resolved. Five months after treatment, he had no visible or palpable signs of disease.

