This post is an answer to the Case – Severe Abdominal Pain Radiating to Back
What are the two eponymous signs and what do they signify?
Cullen’s sign and Grey Turner’s sign. Thomas Cullen (1868–1953), a gynaecologist at Johns Hopkins, Baltimore, described a periumbilical bluish discolouration in a case of ruptured ectopic pregnancy in 1922. George Grey Turner (1877–1951), a surgeon from Newcastle upon Tyne and later the Royal Postgraduate Medical School, Hammersmith Hospital, London, described lumbar discolouration as a feature of acute pancreatitis in 1920.
What conditions are they associated with?
They are associated with causes of retroperitoneal haemorrhage, such as acute haemorrhagic pancreatitis, ruptured abdominal aortic or iliac aneurysm and ruptured ectopic pregnancy.
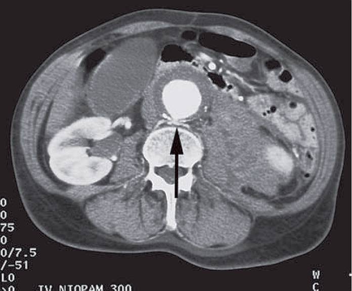
This patient underwent a CT scan. What does it show and what is the diagnosis?
The CT scan shows a 6 cm abdominal aortic aneurysm with a rind of thrombus (called mural thrombus) around the lumen, which is white due to the administration of contrast medium. The rind is deficient posteriorly, the site of a rupture (arrowed).
There is extensive haemorrhage around the lower pole of the left kidney and the descending colon is seen displaced posterolaterally around the haematoma. She has suffered a ruptured abdominal aneurysm with a contained retroperitoneal haematoma.
READ MORE:

