This article is an answer to the Case – A 41-year-old Woman with Subcutaneous Hard Lumps on her Buttocks and Elbows
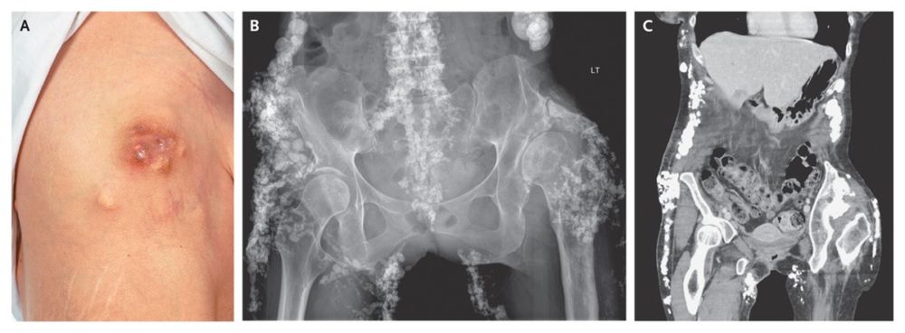
A 41-year-old woman received a diagnosis in 2000 of an overlap syndrome, with limited systemic sclerosis and dermatomyositis. Subcutaneous hard lumps developed over her buttocks and elbows in 2001 and progressed clinically (shown on the inferior axillary area of the right chest wall in Panel A) and radiographically (Panels B and C).
The biggest lesions were subsequently excised, but they reappeared within 1 year after surgery. Histologic examination revealed calcified deposits in subcutaneous fibrofatty tissue, findings consistent with a diagnosis of calcinosis cutis.
Calcinosis cutis has been reported in cases of systemic sclerosis, dermatomyositis, and mixed connective-tissue disorders. The condition causes substantial complications and can be difficult to treat.
Since diagnosis, the patient’s treatment has included glucocorticoids, azathioprine, and methotrexate for the connective-tissue disorder and, more specifically, bisphosphonates and minocycline for calcinosis cutis.
Despite treatment, the patient has persistent, extensive calcification over her buttocks, shins, and forearms, with recurrent infections at calcified sites.

