This article is an answer to the Case – Painful Umbilical Nodule
In the 2 days before presentation, the patient noted new bloody exudate from the nodule. Physical examination revealed a painful and firm, erythematous umbilical nodule measuring 2 cm in its largest diameter and a palpable pelvic mass.
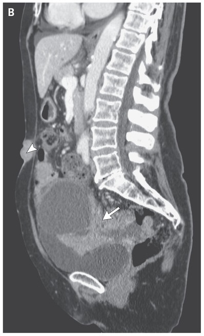
Computed tomography of the abdomen and pelvis showed a heterogeneous pelvic mass measuring 11 cm by 11 cm by 9.5 cm (arrow), moderate ascites, peritoneal carcinomatosis, and a nodule measuring 2.4 cm (largest diameter) in the umbilical region (arrowhead).

Diagnostic laparoscopy and biopsies of the large mass, umbilical nodule, and peritoneal implants were performed, and pathological analysis confirmed the diagnosis of high-grade serous ovarian carcinoma.
A Sister Mary Joseph’s nodule is a metastatic umbilical lesion in the umbilicus and is typically associated with gynecologic and gastrointestinal cancers. The patient underwent cytoreductive surgery and received adjuvant chemotherapy.
