This article is an answer to the Case – 1-year-old Boy with 3-day History of Fever, Cough, and Hoarseness
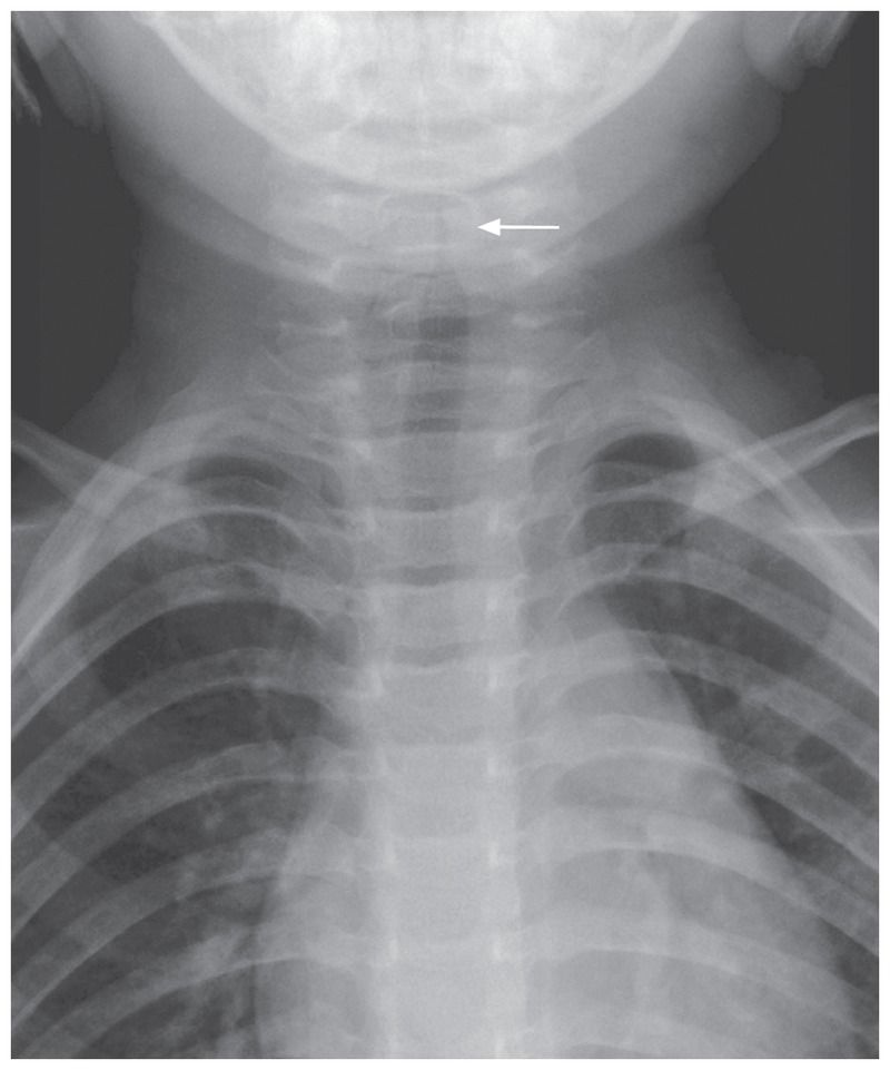
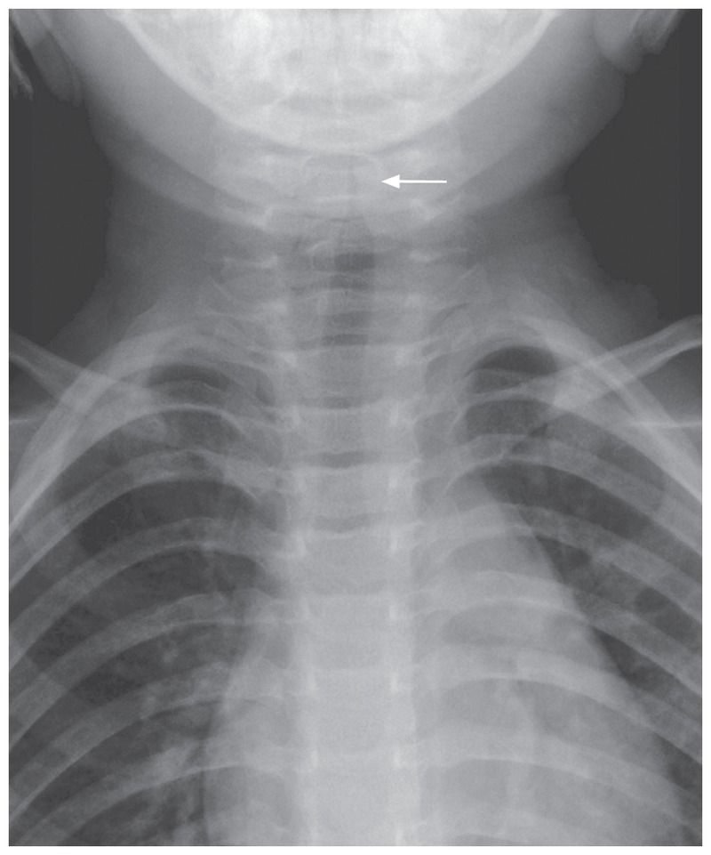
An oropharyngeal examination did not detect any major abnormality. Chest radiography showed a so-called steeple sign, which results from subglottic narrowing of the trachea (arrow) and is suggestive of the diagnosis of laryngotracheobronchitis, or croup.

The patient received 5 mg of oral dexamethasone, but the symptoms progressed to respiratory distress. He was admitted to the hospital, and the symptoms ultimately subsided with the administration of oxygen and inhaled epinephrine. He was discharged after 4 days and was doing well at a follow-up visit 5 days after discharge.
