A 24-year-old man who had been wearing a seatbelt while driving a car involved in a high-speed motor vehicle crash was taken by ambulance to a local hospital, where his condition was stabilized and from which he was transferred by air to a regional trauma center.
Upon arrival at the trauma center, he was immediately taken to the operating room for repair of a partial aortic transection. His other injuries included right rib fractures, right hemopneumothorax and pulmonary contusion, grade 4 liver laceration, grade 2 splenic laceration, and fracture of the right kidney.
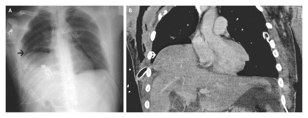
After resolution of the right hemopneumothorax, an elevated right hemidiaphragm was seen on a postoperative chest radiograph, a finding that suggested traumatic diaphragmatic rupture (Panel A, arrow).
A computed tomographic scan confirmed the diaphragmatic rupture and showed that the dome of the liver had herniated into the right hemithorax (Panel B, arrow).
The patient underwent laparotomy, at which time the liver was reduced into the abdomen and the diaphragm was repaired. The patient subsequently improved and was discharged home 50 days after the accident.

