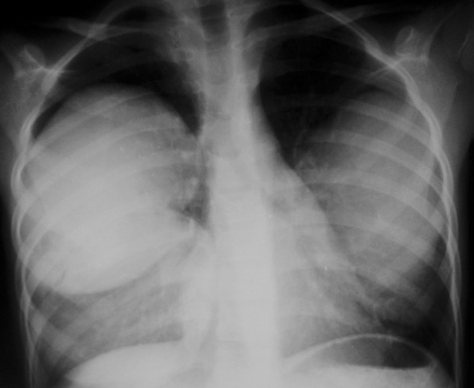
Chest Pain and Dyspnea in 9-year-old Boy Post category:Spot Diagnosis Post published:September 13, 2023 Share on Facebook Share on X (Twitter) Share on Pinterest Share on Email Share on Reddit Chest pain and dyspnea in 9-year-old boy A 9-year-old boy presented with chest pain and dyspnea. What could be the diagnosis ? FULL CASE AND ANSWER Share on Facebook Share on X (Twitter) Share on Pinterest Share on Email Share on Reddit Read more articles Previous PostDyschromic Patches, Plaques, and Poikiloderma on Upper Back Next PostPainless, Pruritic Papules and Verrucous Lesions You Might Also Like Varices of the Chest and Abdominal Wall November 9, 2021 Patient with Decreased Appetite, Vomiting, Weight Loss and a Mass Through the Umbilicus November 29, 2021 23-year-old Man Involved in a Motor Vehicle Accident April 19, 2022
Patient with Decreased Appetite, Vomiting, Weight Loss and a Mass Through the Umbilicus November 29, 2021