Skip to content
Manual of Medicine
  • Topics
    • Acid Base and Electrolytes
    • Cardiology
    • Emergency and Acute Medicine
    • Endocrinology
    • Gastroenterology
    • Gynaecology
    • Hematology and Oncology
    • Infectious Diseases
    • Neurology
    • Nephrology and Urology
    • Pulmonology
    • Pharmacology
    • Pediatrics
  • Spot Diagnosis
  • ECGs
  • Toggle website search
Search this website

Blog

Home » Spot Diagnosis » 67-year-old Woman with a 6-month History of Dyspnea and Dysphagia

67-year-old Woman with a 6-month History of Dyspnea and Dysphagia

  • Post category:Spot Diagnosis
  • Post published:December 2, 2021
Share on Facebook Share on X (Twitter) Share on Pinterest Share on Email Share on Reddit

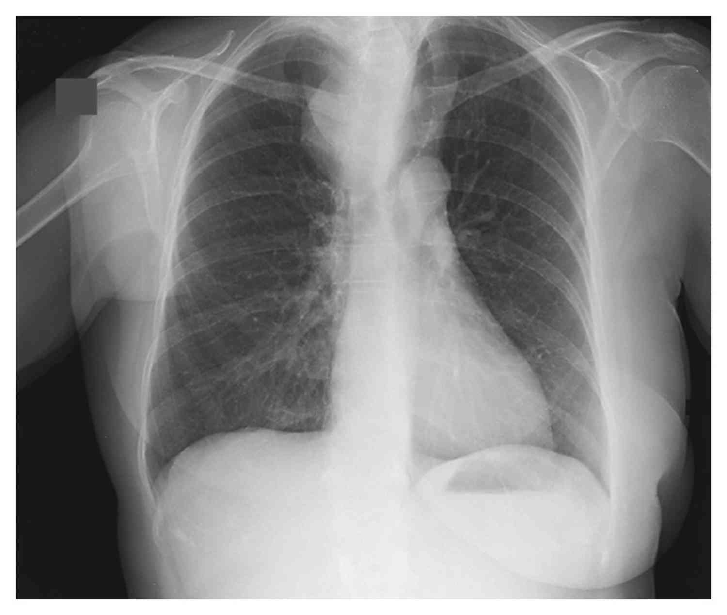
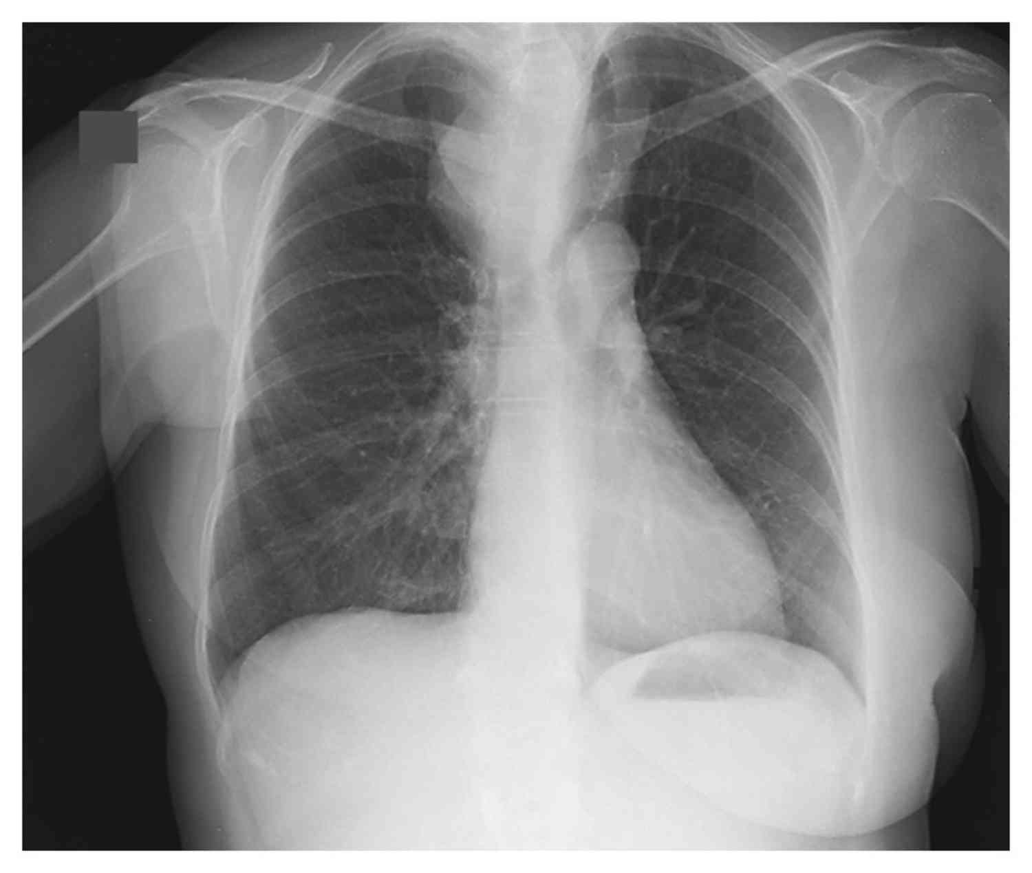
A 67-year-old woman presented with a 6-month history of dyspnea and dysphagia.

What is the diagnosis?

CLICK HERE FOR FULL CASE AND ANSWER
Share on Facebook Share on X (Twitter) Share on Pinterest Share on Email Share on Reddit

Read more articles

Previous PostPatient with Decreased Appetite, Vomiting, Weight Loss and a Mass Through the Umbilicus
Next PostPainless, Nonpruritic, Flagellate Hyperpigmentation on Trunk

You Might Also Like

Read more about the article Patient with History of Esophageal Stenosis due to Chemical Burn

Patient with History of Esophageal Stenosis due to Chemical Burn

April 14, 2022
Read more about the article Erythematous and Irregular Linear Streak Extending from the Hand to the Axilla

Erythematous and Irregular Linear Streak Extending from the Hand to the Axilla

December 21, 2021
Read more about the article Unilateral Leg Swelling and Bluish Discoloration

Unilateral Leg Swelling and Bluish Discoloration

May 10, 2021

Recent Posts

  • Differential Diagnosis of Pathologic Urine Findings (Urinalysis)
  • Pediatric Oncology Diagnosis and Therapeutic Approaches
  • Disorders of Magnesium Homeostasis
  • Irritable Bowel Syndrome (IBS): From Diagnosis to Treatment
  • Chronic Neurodegenerative Disorders: Diagnosis and Treatment

Categories

  • Acid Base and Electrolytes
  • Cardiology
  • ECG Interpretations
  • ECGs
  • Emergency and Acute Medicine
  • Endocrinology
  • Gastroenterology
  • Gynaecology
  • Hematology and Oncology
  • Infectious Diseases
  • ME/CFS/FM, Long Covid
  • Nephrology and Urology
  • Neurology
  • Pediatrics
  • Pharmacology
  • Pulmonology
  • Questions
  • Questions Answers
  • Rheumatology
  • Spot Diagnosis
  • Spot Diagnosis – Case Asnwers
  • Topics
  • Uncategorized
  • About
  • Privacy Policy
  • Cookies
  • Terms and Conditions
  • Contact Us
Manual of Medicine
  • Topics
    • Acid Base and Electrolytes
    • Cardiology
    • Emergency and Acute Medicine
    • Endocrinology
    • Gastroenterology
    • Gynaecology
    • Hematology and Oncology
    • Infectious Diseases
    • Neurology
    • Nephrology and Urology
    • Pulmonology
    • Pharmacology
    • Pediatrics
  • Spot Diagnosis
  • ECGs
  • Toggle website search
Type your search
account android arrow-alt-circle-down arrow-alt-circle-left arrow-alt-circle-right arrow-alt-circle-up arrow-down arrow-left arrow-right arrow-up author bars behance blogger buffer caret-down caret-left caret-right caret-square-down caret-square-left caret-square-right caret-square-up caret-up cart-menu-1 cart-menu-2 cart-menu-3 cart-menu-4 categories chevron-down chevron-left chevron-right chevron-up clock close comments cookies copyright coupon-discount date-modified date-published discord double-arrows-down double-arrows-left double-arrows-right double-arrows-up dribbble envelope-open envelope eye facebook fax flickr foursquare github gmail google-drive grid-view hashtag hollow-ring homepage instagram ios level-down-alt level-up-alt line link linkedin list-view login logout long-arrow-alt-down long-arrow-alt-left long-arrow-alt-right long-arrow-alt-up mastodonmedium messenger mobile-menu mobile phone pinterest place qq quote-left quote-right quotes reading-time-hourglass reading-time-stopwatch reddit rss scroll-to-top search shazam shopping-bag shopping-cart side-panel-opening-2-left side-panel-opening-2-right side-panel-opening-left side-panel-opening-right skype slack small-arrow-down small-arrow-left small-arrow-right small-arrow-up sms snapchat soundcloud spinner spotify stackoverflow sync telegram threadstiktok times-circle tinder trello tripadvisor tumblr twitch twitter viber vimeo vine vkontakte website wechat whatsapp windows wishlist xing yelp youtube zoom