
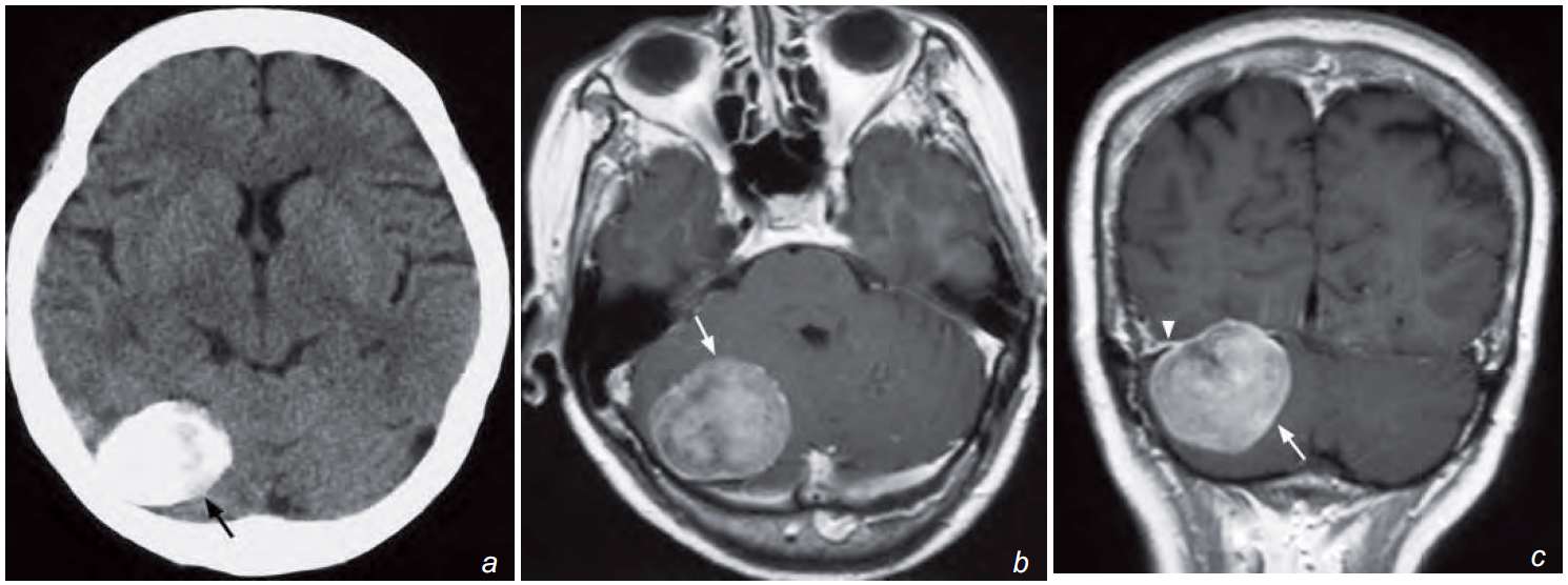
A 68-year-old woman complained of increasing headache and unsteady gait in the past 9 months. Physical examination revealed subtle cerebellar signs but no other neurological deficit. A non-contrast CT and subsequent MRI of the brain were performed for further investigation.
What is seen on the non-contrast CT and contrast enhanced T1W MR image, and what is the diagnosis ?
