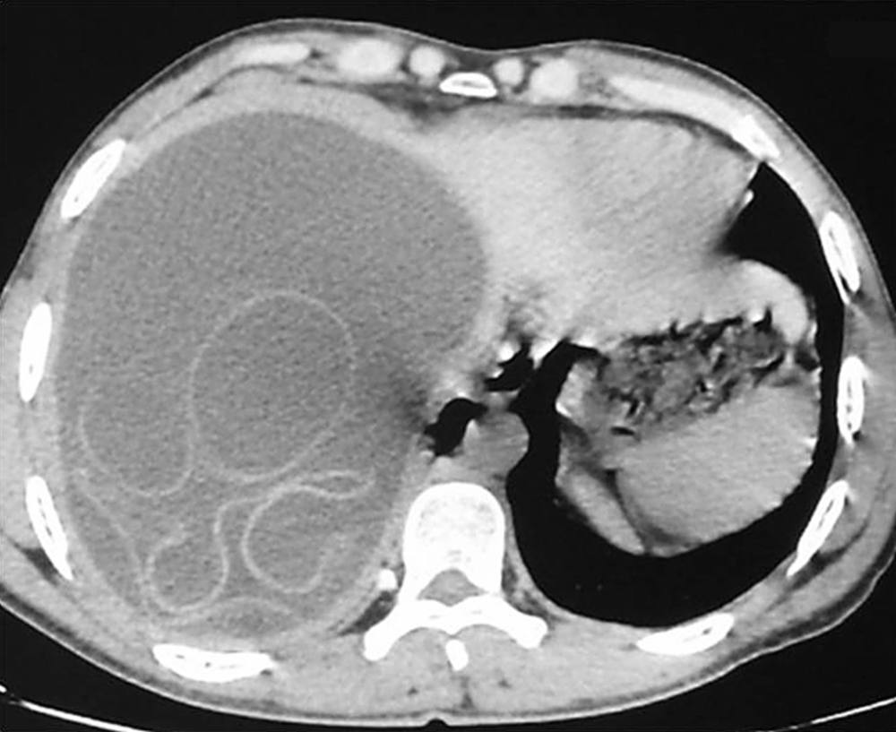
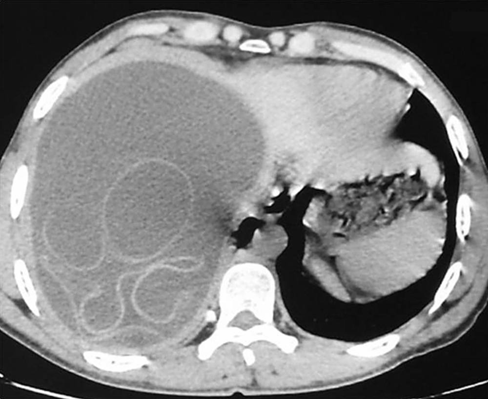
A 30-year-old man presented with a 15-month history of intermittent discomfort in the right upper quadrant of the abdomen. He lived in a rural area of Morocco and had occasional contact with dogs.
The physical examination revealed hepatomegaly with a palpable hepatic mass. Laboratory tests showed a normal white-cell count and a normal absolute eosinophil count. Ultrasonography and computed tomography of the abdomen revealed a large cyst in the right lobe of the liver.
What is the diagnosis?

