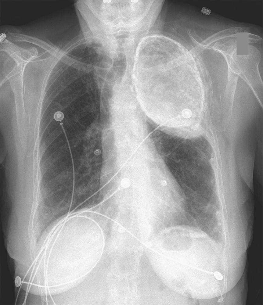
Incidental Finding on Chest X-Ray Post category:Spot Diagnosis Post published:May 5, 2023 Share on Facebook Share on X (Twitter) Share on Pinterest Share on Email Share on Reddit Incidental Finding on Chest X-Ray An 86-year-old woman with hypertension who had been treated for pulmonary tuberculosis in the 1950s presented with burning chest and epigastric pain. She had no respiratory symptoms. What is the diagnosis? FULL CASE AND ANSWER Share on Facebook Share on X (Twitter) Share on Pinterest Share on Email Share on Reddit Read more articles Previous PostSevere Pain and Blurred Vision in the Left Eye Next PostPainful Umbilical Nodule You Might Also Like Violaceous Plaque Consisting of Four Concentric Rings on Leg February 24, 2022 Pruritus and Papular Lesions Between Fingers, Axillae, Groin, and Buttocks September 22, 2021 Painless Erythematous Cutaneous Marks in a Fern-Leaf Pattern October 22, 2021