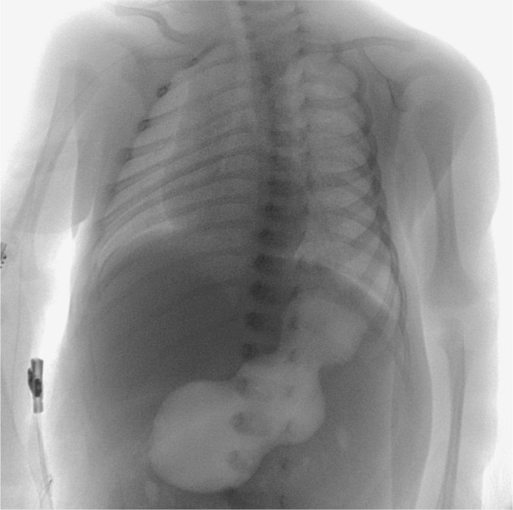
A 23-day-old male infant was brought to the emergency department after 5 days of increasing vomiting. Physical exam revealed mild dehydration and an olive-sized abdominal mass. Upper gastrointestinal radiography showed a distended, air-filled stomach.
What is the likely diagnosis?

