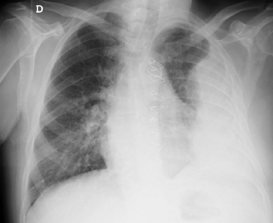
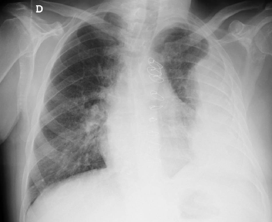
77-year-old male Caucasian patient was admitted with left-sided chest mass, first noticed 15 days before admission. At physical examination a non-tender tumefaction on the mid-axillary line of left chest wall was perceived.
There was no fever, chills or cough. The patient had a clinical history of pulmonary tuberculosis 50 years before.
What’s the diagnosis ?

