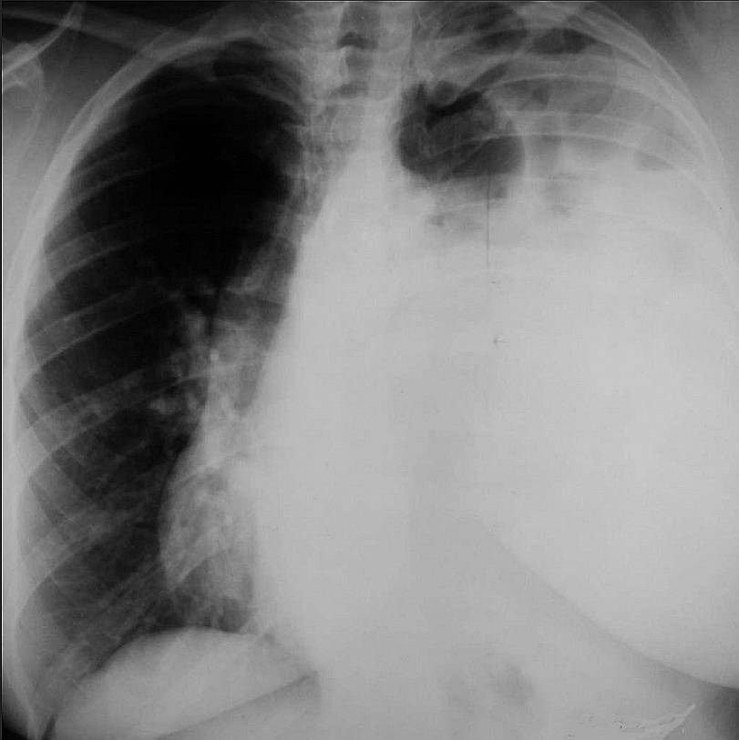
Patient with Severe Pneumonia Post category:Spot Diagnosis Post published:May 6, 2024 Share on Facebook Share on X (Twitter) Share on Pinterest Share on Email Share on Reddit Patient with Severe Pneumonia A 72-year-old female patient had a severe pneumonia and she underwent thorough imaging. She suffered from frequent respiratory infections (usually not severe) but had never had any kind of accident. What’s the diagnosis ? FULL CASE AND ANSWER Share on Facebook Share on X (Twitter) Share on Pinterest Share on Email Share on Reddit Read more articles Previous PostDouble Vision and Eyelid Drooping Next PostLong-Standing, Painful Deformation of the Right Tibia You Might Also Like Chest X-Ray in patient 1 week after the onset of chest pain November 26, 2021 Pain and Swelling of the Left Thigh and Lower Leg September 4, 2022 Well-demarcated Tan-colored Patch Covered with Coarse Dark Hairs July 16, 2022