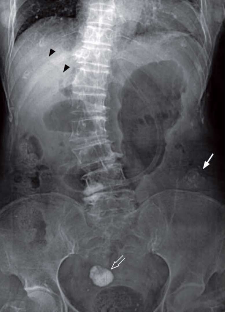
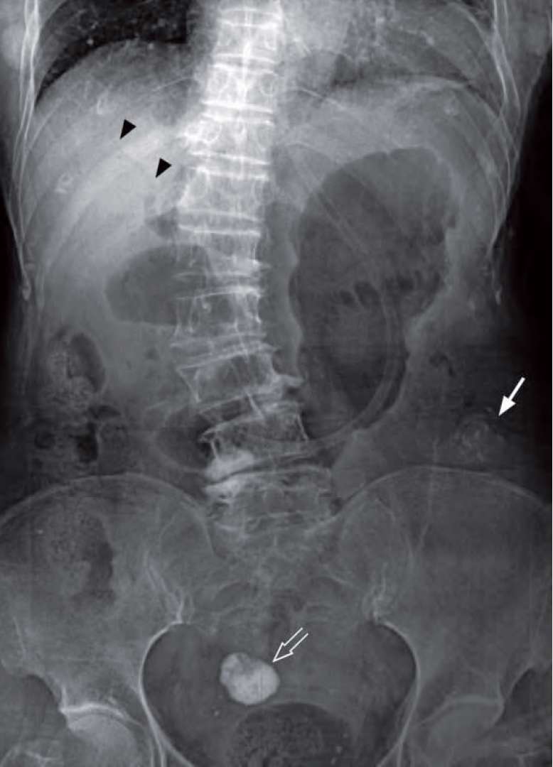
A 70-year-old woman with a known history of gallstone disease, complained of colicky abdominal pain, vomiting, abdominal distension and constipation for three days.
Physical examination showed a distended abdomen with hyperactive bowel sounds on auscultation. No focal peritoneal signs were present on palpation. Per rectal examination showed an empty rectum. Laboratory investigations were unremarkable. The clinical diagnosis of intestinal obstruction was made and a supine AXR performed.
What radiological abnormalities can you see and what’s the diagnosis ?

