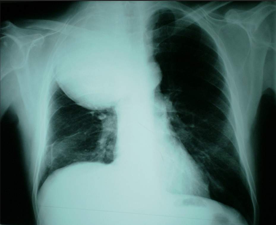
A 40-year-old Man with Cough and Dyspnoea Post category:Spot Diagnosis Post published:November 26, 2023 Share on Facebook Share on X (Twitter) Share on Pinterest Share on Email Share on Reddit Posteroanterior chest radiograph of a 40-year-old Man with Cough and Dyspnoea A 40-year-old man was referred to a pulmonary clinic with a history of cough and dyspnoea, at least for a month. What could be the diagnosis ? FULL CASE AND ANSWER Share on Facebook Share on X (Twitter) Share on Pinterest Share on Email Share on Reddit Read more articles Previous PostFacial Rash After Birth Next PostCrusted Erosions, Atrophic Scars and Fingernail Thickening You Might Also Like Patient with Diabetic Nephropathy and Secondary Hyperparathyroidism May 11, 2022 Patient with 3-month History of Coughing Reddish Sputum, Weight Loss, and Fever May 3, 2022 Dry, Scaly, Erythematous, and Annular Lesions on Face February 1, 2022