This post is an answer to the Case – Severe Retrosternal Pain, and Pain on Swallowing
Chest X-Ray Interpretation
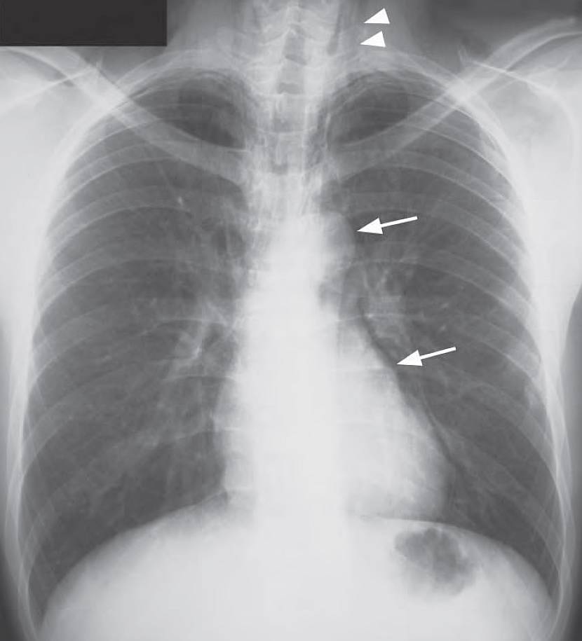
- Air lucency in mediastinum outlining the left heart border and aortic knuckle (arrows).
- Subcutaneous emphysema in the lower neck (arrowheads).

