This post is an answer to the Case – Sudden Left Sided Chest Pain and Dyspnea
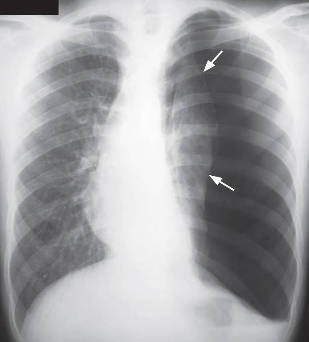
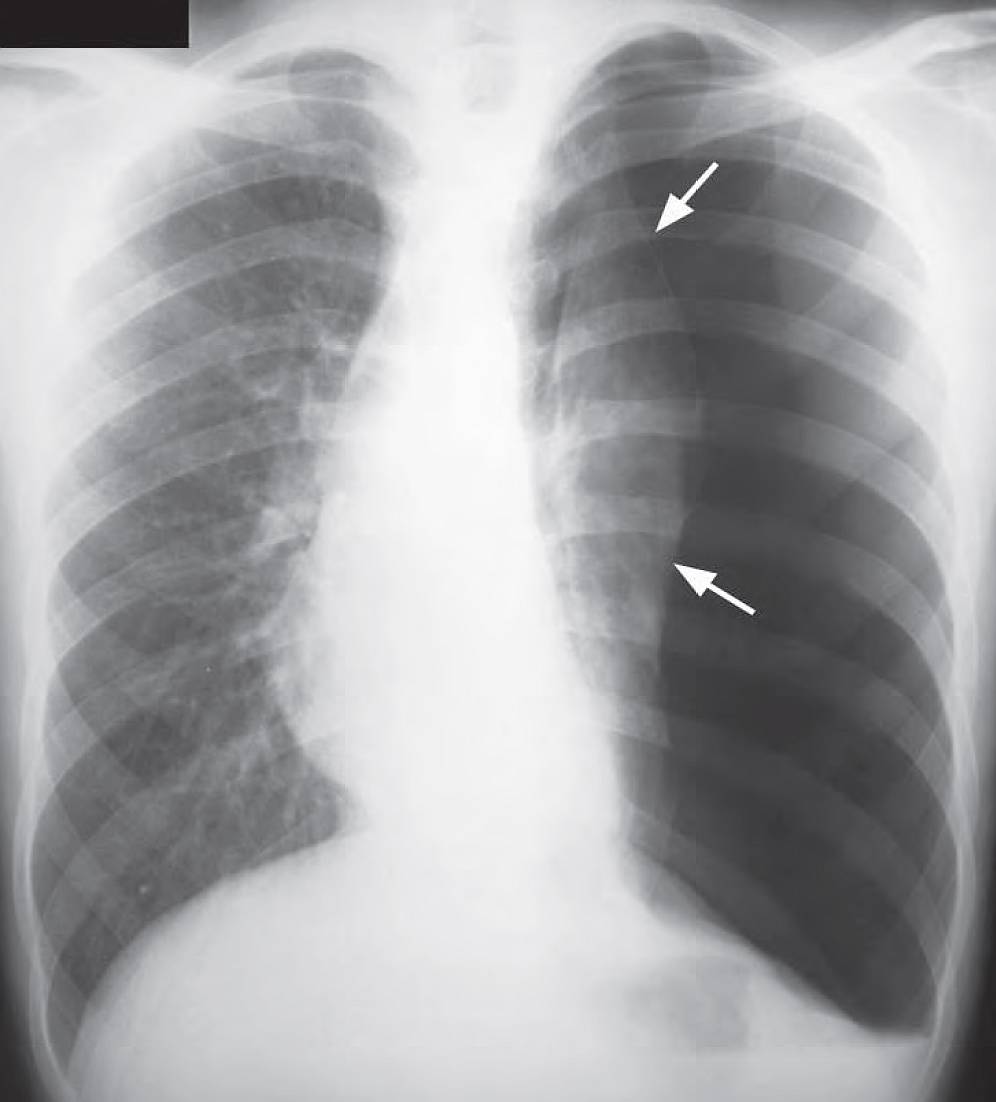
Chest X-Ray Interpretation
- Hyperlucent zone devoid of vascular marking in periphery of left hemithorax.
- Shift of midline to the right.

Diagnosis
Large left pneumothorax with mediastinal shift to the right.
SIMILAR CASES:
