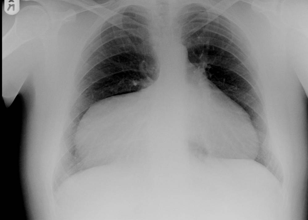
A 25 year old male, who was being investigated for a possible soft tissue tumour of the left buttock, developed symptoms of right sided pleuritic chest pain. There was no associated shortness of breath, cough or recent chest infection. There was no history of recent or previous significant blunt trauma to the abdomen or chest.
What could be the diagnosis ?

