A Premature Newborn with Retractions, Grunting, and Poor Air Movement

A Premature Newborn with Retractions, Grunting, and Poor Air Movement

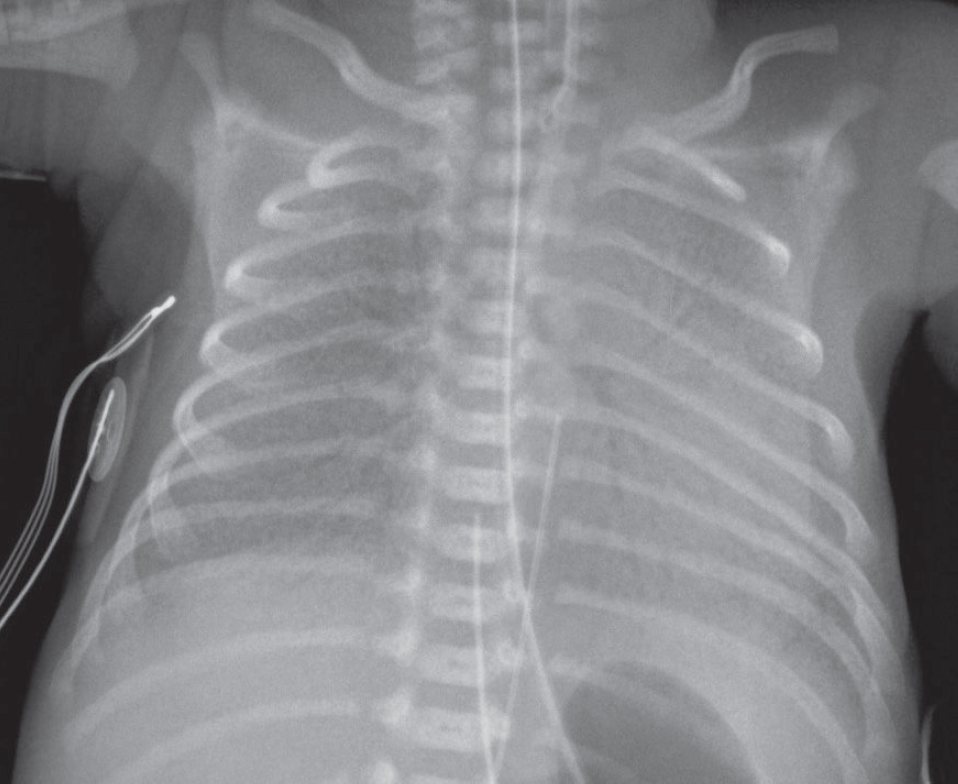
1,260 g girl born at 30 weeks’ gestation presenting with retractions, grunting, and poor air movement and requiring oxygen; has received one dose of surfactant, with some clinical improvement.

What do you see on the Chest X-Ray ?